Invisalign Results: Common Types of Patient Cases
As a Premier Provider in Austin, TX, Dr. Vincent Ip has overseen hundreds of treatment cases for patients with overbites, overcrowding, crossbites, narrow arches, and other issues. His attention to detail, vast knowledge of the capabilities of Invisalign® treatment, and dedication to patients have allowed him to consistently achieve stunning Invisalign results.
A crossbite occurs when some of the upper teeth rest inside the lower teeth when in a closed-mouth position. This is generally a result of improper jaw alignment. Although many people do not experience discomfort or pain as the result of a crossbite, it can ultimately lead to further dental issues, such as:
- Enamel erosion
- Incorrect jaw development
- Temporomandibular joint (TMJ) disorder
- Undesirable aesthetics
- Chewing problems
- Gum disease
In this case, Dr. Ip corrected the patient’s crossbite with the use of Invisalign. As you can see in the “before” photo, the patient’s upper left lateral tooth and canine rested slightly inside the opposing lower teeth. After the treatment was complete, these teeth had been successfully shifted to their desired positions, and the remaining teeth had been straightened.
Dr. Ip's vast knowledge of the capabilities of Invisalign treatment and dedication to patients have allowed him to consistently achieve stunning results.
Occlusion refers to the way teeth fit together when biting down. Malocclusion literally means “bad bite.” When your teeth fit together improperly, it can have a significant, negative impact on your overall oral health. Patients seeking orthodontic treatment for malocclusion are typically motivated by aesthetics. However, if left untreated, this condition can contribute to issues with jaw function, gum disease, dental erosion, and more. There are three different classes of malocclusion:
- Class I: This type of malocclusion occurs when the upper and lower molars are in the correct positions, but the upper teeth slightly overlap the lower teeth.
- Class II: A Class II malocclusion is defined when the chin is pulled back toward the throat. This is caused by the position of the lower molars.
- Class III: The opposite of a Class II, a Class III malocclusion occurs when the lower jaw protrudes due to the position of the lower molars.
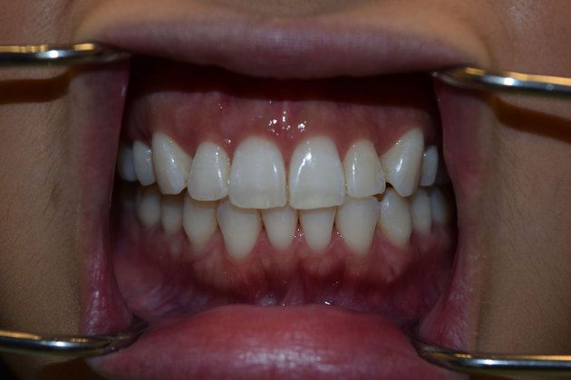
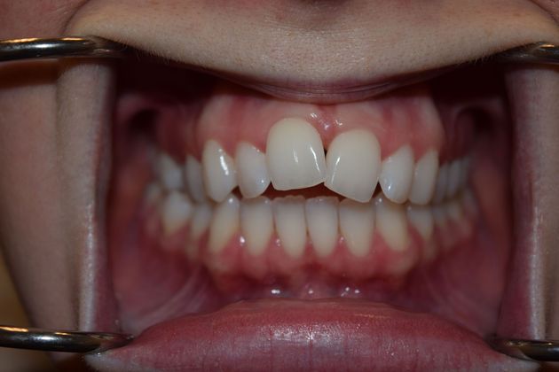
In this case, the patient was extremely self-conscious about their smile due to the positioning of the upper front teeth. In the “before” photo, the patient’s upper right front tooth was positioned higher than normal, and both teeth in the center tilted inward. As shown in the “after” photo, Dr. Ip was able to achieve a more even gum line and a vastly improved appearance through customized Invisalign treatment.
A deep bite is present if the lower teeth touch the gum tissue around the upper teeth when biting down. When the teeth are positioned this way, it can cause issues such as gum recession, damage to the dental roots, temporomandibular joint (TMJ) disorder, and headaches. Among bite disorders, a deep overbite is considered one of the most severe.
In this treatment case, the patient’s deep bite had also contributed to overcrowding. In the “before” photo, the lower teeth are barely visible. Dr. Ip was able to reposition the teeth and jaws, resulting in a smile that is healthy, functional, and more aesthetically pleasing.
A narrow arch can be present for different reasons. First, it could be the result of misalignment. Secondly, it could be the actual shape of the underlying jawbone. In many cases, a narrow arch can be corrected with Invisalign treatment.
In this treatment case, the patient’s narrow arch was an aesthetic concern, as it was causing the teeth to shift slightly out of alignment, as noted in the “before” photo. Dr. Ip was able to use the Invisalign system to push the teeth outwards, resulting in a beautifully aligned, symmetrical smile.
Learn What Type of Results You Can Expect
If you are interested in straightening your teeth, Invisalign may be an effective solution for you. To schedule a visit with Dr. Ip, you can contact us using our online form or call our office at (512) 444-4746.



